hth华体会app官网登录,华体会官方下载app,华体会pg电子,华体会官方合作伙伴狼堡-体育中国网址

微量元素检测仪资讯
您的位置: 主页 > 新闻资讯 > 微量元素检测仪资讯

血流变检测仪分析白细胞变形性

发布日期:2015-04-22 09:01浏览次数:
血流变检测仪分析白细胞变形性

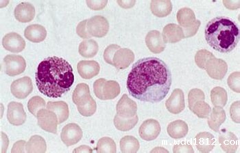
  白细胞为无色的细胞,血流变检测仪白细胞数的少量增加对全血粘度没有明显影响,但在急性感染期,白细胞将大量增多,白细胞附壁也将造成管腔狭窄。这些改变对血液流动产生什么影响,白细胞如何由在血液中流动到为完成其生理功能而靠近壁面,穿过血管壁进入到组织间隙,这些问题的流变学研究将有助于对白细胞功能的进一步了解。
 
  由于白细胞的体积比红细胞大很多,硬度也高很多,白细胞的流变特性对微循环状态也有重要的影响。在微循环观察中,常可看到某些疾病时白细胞的数目增多、贴璧翻滚、附着及白色微小血栓的形成等现象。但在正常条件下,白细胞数目很少,对血液流动的影响较小,加之白细胞的得到也较红细胞困难得多,长期以来对白细胞的流变特性研究没有得到应有的重视。微循环观察中可以看到,在细动脉中几乎看不到白细咆,在毛细血管网和细静脉中中可以看到少许流动的白细胞。在血流缓慢时白细胞接近壁面流动,随着流速的增加,白细胞逐渐向轴心移动。正常的血液中极少有红细胞的聚集体,血液流动时白细胞主要分布在轴心,当由于病理情况体内出现红细胞聚集时,白细胞将向管壁移动,直致贴璧。另外,细静脉的管径比细动脉大得多,血流速度也慢得多,细静脉中的剪切力明显低于细动脉,所以在细静脉中更容易看到白细胞的贴壁和附着现象。
 
  白细胞的粘附与白细胞及血管壁的结构有关,血液的流动并不能阻止臼细胞粘附于血管璧上。白细胞变形比红细胞慢得多,在通过狭窄的血管时可造成短时间的血管堵塞。正常情况下这种现象不会对微循环血流状态产生明显的影响,但在病理状态下可能造成微血管堵塞直致微循环障碍。各种粒细胞与淋巴细胞的流变特性并不相同,研究它们之间的区别可以帮助我们了解不同粒细胞对微循环状态的影响。
 
  白细胞具有明显的变形性,根据变形的不同方式,将白细胞的变形分为以下两类:
 
  1.能动变形:指白细胞依靠自身的能量产生变形的方式。如白细胞穿过血管壁、吞噬异物等的变形。
 
  2.非能动变形:指白细胞在外力作用下发生的变形。如白细胞通过狭窄的微血管时的变形。
 
  白细胞的变形能力较红细胞弱,变形时间也较红细胞长。正常白细胞的变形能力比病态白细胞的变形能力强。但目前尚缺乏有关白细胞流变特性与临床疾病之间关系的研究。

厂家咨询电话:136 1637 9298(微信同号)
本篇文章网址://m.wdd1812.com/hynew/127.html

本站声明:网站部分内容及图片来源于网络,本站只提供存储,如有侵权,请联系我们,QQ: 325925638 ,我们将第一时间删除!
点击咨询中医体质辨识仪器设备
标签:

hth体育中国官网 备案号:鲁ICP备16021555号-7

中医体质辨识仪器体育中国网址备案

鲁公网安备 37040302000185号

13616379298
Baidu
map